最新公告:

  没有公告

您现在的位置: 心灵之窗-眼科医生网 >> 眼科知识 >> 眼科医生 >> 病例探讨 >> 正文
专题栏目
更多内容
相关文章
更多内容
双眼碱烧伤,如何做异体干细胞移植手术       ★★★
双眼碱烧伤,如何做异体干细胞移植手术
作者:fangzhih… 文章来源:协和医学论坛 点击数:6056 更新时间:2005/8/1 1:25:42

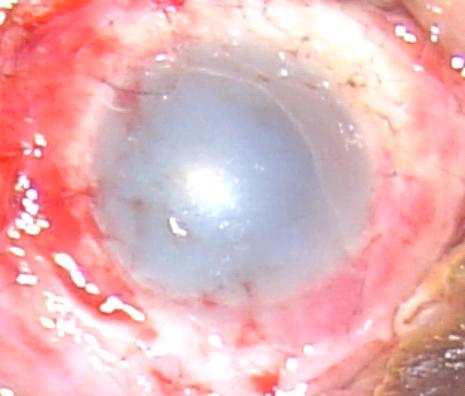
10天前收了一个双眼碱烧伤的病人,很重,所有的角结膜缘组织均苍白坏死。同时伴有面部浅2度——3度烧伤。给予切除坏死组织,冲洗,前房穿刺等急诊处理后病人的水肿略微减轻,视力FC/50CM,入院后给予血清、枸橼酸钠、VC、肝素、激素(头7天)、EDTA、贝复舒等点眼后不见好转,上皮细胞无。决定近期给予羊膜移植加异体干细胞移植(他弟的)。

按此在新窗口浏览图片左眼

按此在新窗口浏览图片右眼

 

移植术后

按此在新窗口浏览图片

以前的相片是没有接触镜覆盖的,今天给病人的第二只眼做了单纯羊膜覆盖术,双层的,第一只眼的相片今天忘照了,哈!不过看不出异体角膜细胞的生长,后天换药时我在照一便。

更多详情请访问协和医学论坛眼科医生专业论坛

http://www.oculist.net/bbs/dispbbs.asp?boardid=3&id=1235

眼科资讯录入:毛进    责任编辑:毛进 
  • 上一篇眼科资讯:

  • 下一篇眼科资讯:
  • 【字体: 】【发表评论】【加入收藏】【告诉好友】【打印此文】【关闭窗口
      网友评论:(只显示最新10条。评论内容只代表网友观点,与本站立场无关!)

    | 设为首页 | 加入收藏 | 联系站长 | 友情链接 | 版权申明 |
    眼科医生网 眼科医生网版权所有 @ 1998-2012
    部分文章和资源来源于网络,如果侵犯了您的版权,请指出! 站长:毛进
    信息产业部备案
    *京ICP备18030162号